慶應義塾大学 薬学部 薬効解析学講座
Division of Pharmacodynamics / Keio University Faculty of Pharmacy
主な感染症研究
マウス感染モデルを用いた
in vivo
PK/PD研究
Hollow-Fiber Infection Modelを用いた
in vitro
PK/PD研究
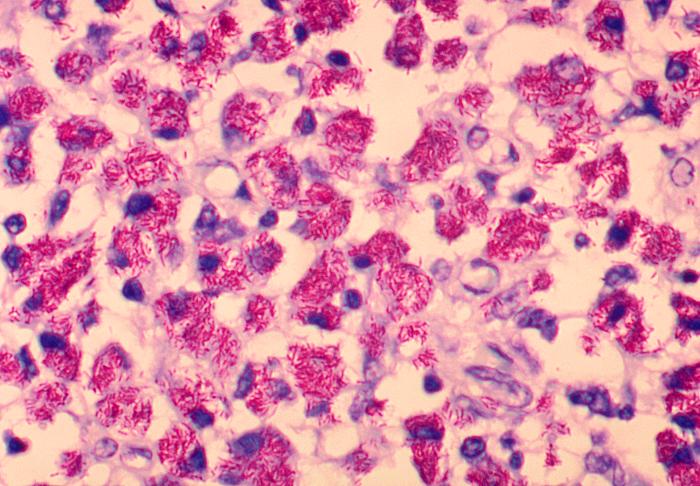
非結核性抗酸菌(NTM)感染症研究
Clostridioides difficile
感染症研究
臨床研究・臨床データ解析
主なサルコペニア研究
骨格筋を基盤とした老化・疾患制御