neurinoma.htmlTEXTMW2J4$ lッ留cッ留c=ン;Neurinoma/Neuroma

Brain Tumor/脳腫瘍


神経鞘腫・neurinoma

(C)T.Fujimaki : all the copyrights of this page belong to Fujimaki T
脳からは12対の脳神経と呼ばれる神経が出ています。視神経(ものを見る)、動眼神経(目玉を動かす)、三叉神経(顔にさわってわかる)、顔面神経(顔の筋肉をうごかす、顔をしかめる、目をつぶるなど)、聴神経(音を聞いたり体のバランスをとる)などです。これらの神経をつつむ鞘(電線のビニールの覆いのようなもの)から腫瘍ができることがあり、神経鞘腫といいます。良性腫瘍で、脳そのものからできるのではないので、通常脳との境界ははっきりしていて摘出すれば治癒します。 もっとも多いのが聴神経にできるもの(聴神経腫瘍)ですが、この神経の場合、平行してはしる顔面神経が腫瘍に巻き込まれたり、引き伸ばされたりして手術摘出の際顔面神経の働きを障害せずに摘出することが必ずしも容易ではありません。顔面神経の働きが障害されると、目がとじにくくなったり、顔がまがってたべものがくちのはしからこぼれたりします。特に目が閉じにく、涙の出も障害されると角膜が障害され目が見えなくなる危険があります。顕微鏡のしたで顔面神経の働きを手術中もモニターしながら障害しないように精密に摘出する必要があります。 小さな聴神経腫瘍ではガンマナイフで腫瘍を焼いてしまう方法があり、頭をあけることなく治療できますが、ガンマナイフといえども万能ではなく、神経障害や晩発性障害などの危険もあり、ガンマナイフの専門医によく相談すべきです。(東京大学のガンマナイフ外来は月、水)

聴神経鞘腫・聴神経腫瘍について

正常の顔面神経、聴神経の関係を表します。
顔面神経と聴神経は接して走って脳よりでて
おなじ骨のあな(左上、内耳孔)へ入ります。
聴神経腫瘍(聴神経鞘腫)の模式図です。
説明をわかりやすくするために、多少
実際の光景とは異なりますが、腫瘍が
できてくると、腫瘍に圧されて顔面神
経がひきのばされ、だんだん薄くなっ
てきます。
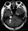
それほど大きくない聴神経鞘腫の一例 (患者さんの許可をえて画像を掲載)


E-mail: Fujimaki


脳腫瘍のいろいろのページにもどる


Fujimaki Tのホームページにもどる


30 April 1997