gliomaope.htmlTEXTMW2J¼$¯—®Ç¯—®Ç% Glioma Treatment

Brain Tumor/”]Žîá‡


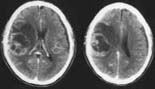
_ŒoäPŽîŽ¡—Â̎ÀÛEtreatment example of glioma
(C)T.Fujimaki : all the copyrights of this page belong to Fujimaki T
_ŒoäPŽî‚Ì‰æ‘œŠŒ©
‚U‚O‘ã‚Ì’j«‚Ì_ŒoäPŽî‚Å‚·B
”]‚̉^“®‚ðŽi‚é•”ˆÊi‰^“®—Ìj‚ÉÚ‚µ‚ÄŽîᇂª
‚Å‚«‚Ä‚¢‚½‚½‚ß‹­‚¢•Жƒáƒ‚ƈӎ¯áŠQ‚Å”­Ç‚µ
‚Ü‚µ‚½B

_ŒoäPŽî‚ÌŽèpŠŒ©
”]‚Ì•\–Ê‚ÉÔ‚¢F‚ð‚µ‚½Žîᇂª˜Io‚µ‚Ä‚¢‚é‚Ì‚ª
ŠÏŽ@‚³‚ê‚Ü‚·B

_ŒoäPŽî‚ÌŽèp
Žèp‚ł͉^“®—Ì‚ð“ÁŽê‚È“d‹É‚ÅŽèp’†‚ÉŠm”F‚µ‚È
‚ª‚çŽèp“Eo‚ð‚·‚·‚ßA‚킸‚©‚ÈZ‚·‚é•”•ª‚ð
‚Ì‚±‚µ‚ÄŽîᇂð“Eo‚µ‚Ü‚µ‚½BŽèpŒã–ƒáƒ‚͂قÚ
—Ç‚­‚È‚èA‚³‚ç‚É•úŽËüA‰»Šw—Ö@‚ðs‚¢‘Þ‰@‚µ
‚Ü‚µ‚½B
iŒŸ¸‰æ‘œAp’†‰æ‘œ‚ÌŒöŠJ‚ɂ‚¢‚Ă͂²–{ l‚Æ‚²‰Æ‘°‚Ì‚²—¹‰ð‚ð‚¢‚½‚¾‚«‚Ü‚µ‚½j

E-mail: Fujimaki


ƒOƒŠƒI[ƒ} ‚̃y[ƒWi‘O‚̃y[ƒWj‚É‚à‚Ç‚é


”]Žîᇂ̂¢‚ë‚¢‚ë‚̃y[ƒW‚É‚à‚Ç‚é


Fujimaki T‚̃z[ƒ€ƒy[ƒW‚É‚à‚Ç‚é


30 April 1997